popular

Monday, April 25, 2022

esthetic restoration in completely edentulous patient

 

In several contemporary dental procedures, patients who need comprehensive removal of teeth with external prostheses are in fact esthetic orphans. Although the introduction of effective osseointegration has significantly diminished the need for reversible prostheses, there are still many patients who are not eligible for implants for clinical, physiological, psychiatric or financial purposes. Such patients deserve the same degree of esthetic restorative dentistry as those of set prostheses repaired. The restorative dentist clearly has the greatest flexibility with complete dentures from an esthetic standpoint. Soft and hard tissues can be supplemented with contemporary defined denture-base materials, and the most stringent patient's demands can be fulfilled with a completely infinite variety of tooth shapes, colors, and arrangements. The biggest problem for partially edentulous patients is the design of a removable partial denture which avoids the unsightly display associated with conventional clasp assemblies. Strategies are available to effectively accomplish this while establishing an environment for optimal periodontal health, and minimizing destructive stresses on the abutment teeth. Esthetic replacement and physiological arrangement of the tooth have made the whole denture biologically compatible and desirable. To improve the patient's psychology, proper dent positioning should be practical and esthetically pleasing. This article reviews the evolution of teeth selection concepts, as well as recent techniques used to select anterior teeth for complete dentures.

 

Introduction:

It may be due to periodontal disorder, abscess development, infection, and vertical tooth fracturing that causes edentulism or total tooth loss. Common consequences of tooth loss include progressive resorption of the alveolar bone and reduced performance in chewing. Edentulism has two main limitations as it affects the capacity of a individual to perform two important activities in life: speech and feeding, and impairment, because drastic improvements are made to account for the deficiencies[1]. Both disability and disability have had a negative impact on psychosocial well-being, particularly with regard to the elderly. Additional to quality of life, edentulism affects oral and general health[2]. The edentulism treatment includes conventional complete dentures (CCDs), implant-retained overdentures (IODs) and, in some cases , full-arch fixed complete denture prostheses supported by implants. In the past, restore function with completely removed dentures has been the most successful procedure for edentulism. Since edentulism triggers progressive boneloss, CCD treatment is minimal and negative changes occur overnight. Common problems, particularly with mandibular CCDs, include lack of stability and retention, discomfort and pain and additional loss of function[3].

Aesthetics is the primary consideration for patients seeking treatment with prothetics. The size and shape of the anterior maxillary teeth are not only important for dental esthetics but also for facial aesthetics. The goal is to restore the anterior maxillary teeth in accordance with the appearance of the faces. However, the dental literature provides no scientific evidence to be used as a reference for identifying the correct size and form of anterior teeth or for determining natural relationships. According to Young, "beauty, harmony, naturalness and individuality are essential qualities" of esthetics[4].

The schematic division of face shape and head, which Madame Schimmelpeinik proposed for use by artists in 1815, was considered for the application of esthetic teeth in the dentistry. The concept of "correspondence and harmony" was projected by J.W. Blanc in 1872. The basis of this concept was that the temperaments demanded a characteristic association of the shape and color of the tooth, and that harmony required a corresponding proportion and size of the tooth to that of the face, and a color of the tooth in harmony with the complexion of the face; that the shape and color were modified to be in harmony with sex and age. The dentist challenge was to combine and complement these different field values into a dental condition description which was helpful for determining the shape of the tooth.

From the point of view of power and general acceptance[5], the "Temperamental technique" of choosing the tooth type should be considered chronologically the fourth technique and the first technique.

Projected in 1906, "Berry's biometric ratio system" He found out the proportions of the upper central incisor tooth had a definite proportional ratio to the proportions of the face. The tooth was one sixteenth the width of the nose, and one twentieth the length of the neck.

 

 

Discussion:

There are a host of patients whose financial, anatomical, psychological, or medical limitations eliminate them as candidates for fixed implant or prosthodontic therapy. These patients can often be treated with removable prosthodontic therapy with satisfactory results. Such patients do have the same esthetic expectations and preferences as patients diagnosed with restaurations assisted by set prosthodontics and implants, and they receive the same quality of treatment. Once again, the writers are of the view that these patients are frequently regarded as second-class people and are given what can better be characterized as a medium level of restorative treatment. The article explores the wide area of reversible prosthodontics when it pertains to esthetics and analyzes the obstacles to presenting these patients with an outstanding degree of restorative therapy. Suggestions are provided to help the doctor have both full dentures and temporary partial dentures with a high degree of esthetic treatment.

 

Complete dentures

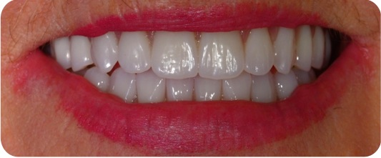
Complete dentures offer the clinician the ultimate freedom in providing esthetics which are accepted by the patient. Given today's near-infinite variety of tooth molds, shapes, colors, and designs, the clinician is constrained only by his ingenuity and artistic talent. The teeth can be placed in nearly any position needed to provide optimum support for the lip and a pleasing smile. The denture-base material can make up for loss of hard and soft tissue. Both the teeth themselves and the denture-base materials can be modified and characterized to tailor each prosthesis to the needs and wishes of the patient (Figure 1). Clinicians have developed many contemporary principles of esthetics which provide complete denture prostheses. The dentogenic concepts described by Frush and Fisher use the patient's gender, personality and age in the selection and arrangement of anterior teeth, and have been used extensively by clinicians for many years.[1] The concepts of the divine or golden proportion have also been described and provide useful guidelines for the selection and positioning of anterior teeth. Clearly, a highly esthetic, personalized, complete denture service can be offered to patients. Providing such a facility is both gratifying and satisfying, which helps the clinician to study much of the concepts of esthetics experientially, and can then be extended further on to fixed prosthodontics and implants. Few data on the quality of care rendered with complete dentures are available; however, the authors are of the opinion that the majority of complete dentures provided are not close to achieving the esthetic potential currently possible. Thus, many practitioners lack a tremendous opportunity to provide an upscale service while learning and applying many important principles that are critical to the field of esthetics.



 

Infrabulge Clasp Assemblies

This first choice is the simplest and easy to use, and should often be weighed before solutions become more complicated. As is the case with suprabulge clasps, infrabulge clasps approach the retentive undercuts from the gingival rather than the occlusal direction. [1] This design feature alone can eliminate many patients' display of the clasp assembly, depending on their individual smile. The use of infrabulge clasps with the rest, proximal plate, I bar (RPI) concept and its modifications has been well documented.[6]

Based on these concepts, infrabulge clasp assemblies have the advantage of presenting relatively clean lines, with minimal interference with the natural contours of the abutment teeth, and are stress-releasing. They can thus be used in cases of Kennedy Class I and II, as well as in circumstances of tooth born. Additionally, infrabulge clasps have inherent tripping action which makes them more retentive than suprabulge clasps with the same undercut depth[7].

Figure 2 shows the successful use of infrabulge clasps on a partial denture removed from the mandibular Kennedy Class I to provide optimal function and esthetics. While this choice would not meet every patient's esthetic demands, it is a simple and effective idea that effectively fulfills certain demands in many whose smiles require it. Remember that a changed cast impression was used with this individual to better connect the base of the denture to the residual ridge soft tissues. It has been well established that the most critical factor in mitigating stress on abutment teeth with removable partial dentures is the optimum fit of the base to the residual edge, and this is best accomplished with the altered-cast impression technique Less than 2 per cent of North American dentists use the altered cast which gives credence to the authors' assertion that removable prosthodontics

 


Precision Attachments and Serniprecision

A second approach to replacing the clasp assembly show of adjustable partial dentures is to start using precision or semi-precision attachments. According to the authors, the attachments to precision are generally misunderstood and overused in the profession. Attachments were classified as intracoronal or extracoronal and resilient or non-resilient and each type of attachment has significant inherent deficiencies associated with them. Place for the attachment inside the crown must be provided for intracoronal attachments. This must be recognized at the time of the preparation of the tooth and often leads to the removal of a considerable amount of sound tooth structure to fit the attachment. This loss of sound tooth structure represents a significant intervention in the abutment tooth's structural integrity, and requires a biological price that is often paid at a later date (Figure 3). By definition, extracoronal attachments alter the physiological crown contour of the abutment tooth and often establish a clinical situation in which it is extremely difficult if not impossible for patients to maintain adequate oral hygiene under the attachment. Again, this usually requires a biological price, in the form of parodontal disease or recurrent caries or both. A great variety of extracoronal attachments are available, and their style and size differ considerably. In general, the authors are of the opinion that extracoronal attachments with natural abutment teeth should be avoided. When selecting an extracoronal attachment for use, it is recommended that one of minimal size be chosen to mitigate the impact on the anatomical contour of the crown, and that the patient be trained and advised to exercise careful oral hygiene to avoid the production of pathology.

 

 


 

The second approach with attachments which is potentially useful is to use plunger attachments. This approach is relatively straightforward in concept and has been proven practical in many clinical situations. Such devices are essentially spring-loaded plungers that work in the partial denture casting in a cradle and maintain a dimple in the proximal surface of the abutment tooth or crown. These attachments can be used in both tooth-borne situations and carefully in cases of Kennedy Class I1.[8] In these latter situations, it is critical to obtain maximum stability of the base of the denture by using a technique of correct impression. Such attachments may be categorized as durable as they enable vertical and horizontal mobility and can be adapted to the relative amount of retention offered simply by changing the amount of pressure exerted by the plunger. A critical principle with which to achieve this. A and B, Plunger attachments are placed in a cradle of the partial denture framework and can be adjusted to give varying amounts of force. C, It is important to preserve the location of the abutment teeth by using plunger attachments and this is achieved optimally with milled lingual bracing arms and supportive proximal rests. The attachments gain stability in the abutment tooth position by constructing a partial denture frame. This can be done by using a milled lingual brace arm with a positive proximal rest, splinting the abutment teeth or a positive cingulum rest. If that is not done, it can be orthodontically pushed out of place by constant pressure of the plunger attachment against the abutment tooth.

 

Concepts of Teeth Selection

White’s Concept

This method was based on a concept ascribed to Hippocrates in the 5th century BC. Temperamental types were sanguine, anxious, cheap and lymphatic named for the individual's bodily functions of blood, muscles, bile, and lymph. The fake teeth were randomly chosen to match the personality of the recipient. It would be expected that a "balanced" individual would have short, broad, tapering incisor teeth, while a "bloody" individual would have long, thin, and narrow teeth[9].

H.Pound’s Concept [10]

Evaluates tooth width by "measuring the gap between zygoma and zygoma, one and a half inches back of the lateral eye corner"



Duration is a calculation of the distance from the chin's hairline to the lower edge of the chin 's surface, with the sleeping ear.

 

Dentogenic Concept [11]

The collection of tooths using dentogenics principles is based on the patient's age , sex and temperament putforth by Frush and Fisher 1955. This definition was clarified as the prosthodontic understanding of the presence of three essential factors each patient possesses. The factors for this are the patient's sex, personality and age.

Winkler’s Concept [12]

This definition has three aspects to emphasise. The point of view biological-physiological, biomechanical, and psychological. The biological-physiological point of view stated the importance of facial musculature harmony and the physiological limit to the arrangement of the teeth. Biomechanical reveals the mechanical limitations of anterior teeth placement. The psychological perception is based on facial presentation and esthetics.

The Concept by Leon William[13]

William invented a system which is called harmony law. He assumed that in most cases, there is a connection between the inverted face shape and the maxillary central incisor shape. Three traditional types of teeth he described as square, tapering and ovoid.

 

 

Anterior Teeth Colour

Bilmeyer and Saltzman defined color as the result of the physical modification of light by dyes as seen by the human eye and interpreted by the brain. Light is physical, colorants are biological, the body is physiological and the brain is neurological of course. Actually the eye is psychological in nature as a receptor interfaced with the brain as an interpreter. The color definition is indicative of the variables inherent in color visualization and control.

When viewing a tooth to determine its color, two main colors––yellow and grey––are evident. In the gingival third the yellow is more dominant, and the black is more prominent in the incisal third. Patient position and light source are very important in color selection [14]. The patient should be standing upright. The dentist should be in a position to show the teeth in a direction that is perpendicular to the imaginative dentist plane. In the electromagnetic spectrum, white light of the wavelength between 380 and 750 nm is considered appropriate. Eyes tire of color perception very quickly, therefore they should not focus more than a few seconds on a tooth. A gap of 6–8 feet should be set between the teeth and the shade guide.

Color Dimensions

Color control factors can be controlled in three basic variables: variables of observers, variables of objects and variables of light source. This is called geometric metamerism, or a play of conditional light. The middle incisor shade has been picked from an appropriate shade guide. The dentist should consider the patient's age, the individual complexion pattern and the patient's desires in choosing this shade. Acceptable teeth color values are always compromises between those three factors. Hue, Meaning and Chroma[15] are the three dimensions of light. Hue depicts an object 's dominant colour. Value describes a colour's lightness and gloom. Chroma describes the level of saturation of the color in question. Such three dimensions are usually included in shade tabs to help the clinician and the laboratory technician select a suitable teeth to complement the patient's appearance.

Light is the origin of color — the primary in the triad of source, object, and observer — it is seldom considered by people who see color as such. Incandescent light, which is commonly used in home and most operating lamps, emits a lot of energy in the spectrum 's red yellow area and very little energy in the blue zone. Therefore, if we illuminate red, yellow and blue samples under the source of incandescent light, we will see that the red and yellow are very strong and highly saturated. While the blue is faint and lacks saturation. It is considered a best source of natural daylight.

In history, certain proportions have evolved to describe the esthetics of faces. Proportion is the study of structural harmony in space. The esthetic proportions that remain from ancient times are golden proportions. Now in the recent years recurrent esthetic proportions are argued. Esthetics may continue to be ignored in favour of the mechanical principles of function, but not without sacrifice of a pleasing and harmonious expression [16].

 

 

Conclusion

It is obvious that removable prosthodontic procedures are often not provided at the optimum level, given the current level of knowledge. Clearly, patients requiring removable prothodontic care have the same esthetic desires as patients receiving fixed prosthodontic therapy, and they deserve the best treatment outcome possible. Dentists have maximum flexibility to achieve patient-accepted esthetics for complete dentures. The infinite variety of tooth molds, shapes, and colors, along with multiple shades of denture-base resin and the ability to define tradition, offer the clinician expertise and ingenuity effective tools to deliver optimum esthetics. The primary esthetic problem with removable partial dentures is display of the clasp assembly. Often this unesthetic display can be avoided just by using infrabulge clasps. The attachments to precision are not well understood and are overused. The use of precise attachments can provide esthetic results in the short term, but the manufacturing of such prostheses is both complex and time-consuming, and the long-term maintenance required is a major problem. Before committing themselves and their patients to using attachments, clinicians should consider other options with care. Partial dentures removable by rotational path are also poorly understood and tend to be underused. However, they can provide an exquisite, cost-effective means of delivering great esthetics and function. This approach is highly recommended where indicated. Finally, providing excellent removable prosthodontic service in other disciplines is no different than providing excellent service in other. In all stages of care delivery it simply requires meticulous attention to detail. The essential details are well known in the literature and have been described in detail. This article attempted to motivate practitioners to elevate their removable prothodontic service to the level they deserve for their patients.

Dental art is not an automatic occurrence. The dentist must incorporate this intentionally and carefully into the treatment plan. This artistry aims at softening the marks put on the face by time and encouraging people to face their life with renewed enthusiasm and trust. Art in conjunction with the denture development sciences promotes the preservation of physical and psychological health by the geriatric patient.

References

 

1-  Sahyoun NR, Krall E. Low dietary quality among older adults with selfperceived ill-fitting dentures. J Am Diet Assoc 2003;103:1494–9.

2-  Geckili O, Bilhan H, Mumcu E, Dayan C, Yabul A, Tuncer N. Comparison of patient satisfaction, quality of life, and bite force between elderly edentulous patients wearing mandibular two implant-supported overdentures and conventional complete dentures after 4 years. Spec Care Dentist 2012;32:136–41.

3-  Albrektsson T, Blomberg S, Branemark A, Carlsson GE. Edentulousness—an oral handicap. Patient reactions to treatment with jawbone-anchored prostheses. J Oral Rehabil 1987;14:503–1

4-  Gomes VL, Gonclaves LC, do Prado CJ, et al. Correlation between facial measurements and mesiodistal width of the anterior teeth. J Esthet Restor Dent. 2006;18:196–205. doi: 10.1111/j.1708-8240.2006.00019_1.x

5-  Clapp GW. How the science of esthetic tooth form selection was made easy. J Prosthet Dent. 1955;5:596. doi: 10.1016/0022-3913(55)90085-8.

6-  Berg T Jr. I-bar: myth and countermyth. Dent Clin North Am 1979; 23:65-75.

7-  Stone ER. Tripping action of bar clasps. J Am Dent Assoc 1936; 23596-617.

8-  Berg T, Caputo AA. Comparison of load transfer by maxillary distal extension removable partial dentures with a springloaded plunger attachment and I-bar retainer. J Prosthet Dent 1992; 68:492-499.

9-  Young HA. Selecting the anterior tooth mould. J Prosthet dent. 1954;4:748–760. doi: 10.1016/0022-3913(54)90041-4.

10-         Pound E. Lost fine arts in the fallacy of ridges. J Prosthet Dent. 1954;4:6–16. doi: 10.1016/0022-3913(54)90060-8.

11-         Frush JP, Fisher RD. The dynesthetic interpretation of dentogenic concept. J Prosthet Den. 1958;8:558–581. doi: 10.1016/0022-3913(58)90043-X.

12-         Land LS. Anterior tooth selection and guidelines complete denture esthetics. In: Winkler S, editor. Essentials of complete denture prosthodontics. 2. St. Louis: Ishiyaku Euro America Inc.; 1996. pp. 200–216.

13-         Williams JL. A new classification of natural and artificial teeth. New York City: Dentists supply Co; 1914.

14-         Billmeyer FW, Saltzman M. Principles of color technology. New York: John Wiley &sons Inc; 1966.

15-         Hegenbarth EA. Creative ceramic color: a practical system. Chicago: Quintessence publishing Co, Inc; 1989. pp. 39–41.

16-         Ward DH. Proportional smile design using the recurring esthetic dental (red) proportion. Dent Clin North Am. 2001;45:143–154.

No comments:

Post a Comment